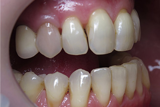
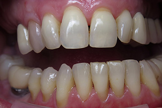
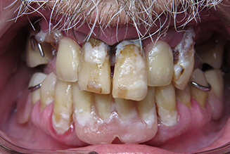
See for yourself why people in South Florida trust their smiles to Gables Exceptional Dentistry!
These before-and-after photographs show why we are the best dental practice serving Coral Gables and all of South Florida! Whether it’s Zoom! whitening, extreme smile makeover, Invisalign®, porcelain veneers, dental bonding, dental implants, laser dentistry, or one of the many other dental procedures we use to create a beautiful smile, you can trust us to give you the smile of your dreams!































































